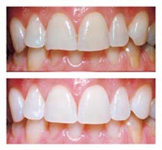
Cosmetic Contouring
Cosmetic contouring is a reshaping procedure that can be used to change the irregular appearance of teeth, repair fractured or worn teeth due to accidents or habitual grinding. Contouring can also be used for isolated surface staining.
This technique is easy and inexpensive and is the procedure of choice for patients with only minor tooth irregularities.










